√99以上 scp 178-14-alpha 767595-Scp 178 14 alpha
Any attempt by the wearer or any other personnel (see Incident Report #Alpha) to directly interact with the entities results in severe lacerations suddenly appearing on persons involved The appearance of lacerations is rapid and continues until the moment the wearer expires The pattern of lacerations is always consistent with being slashed with three (3) parallel, tapered sharpI finished reading file #178E and it makes multiple references to 14Alpha, but despite my best efforts, I can't locate it Press J to jump to the feedSCP Containment Breach è un gioco survival horror prodotto dal finlandese Joonas Rikkonen (in arte "Regalis"), e basato sulle storie del sito SCP Foundation Si tratta di un gioco in prima persona È gratuito, per PC e liberamente scaricabile 1 Trama 2 Il Protagonista 21 Oggetti Nostalgici 3
Scp 178 14 Alpha Scp 178 3d 眼镜
Scp 178 14 alpha
Scp 178 14 alpha-Sau Sự Kiện #Alpha, tất cả các thử nghiệm cần được theo dõi từ xa và không nhân viên nào ngoài đối tượng thử nghiệm được phép có mặt trong khu thí nghiệm Mô tả SCP178 là một cặp kính ba chiều ("3D") với viền chữ nhật trắng làm từ giấy bìa cứng và hai tròng kính trong suốt màu đỏ và xanh (bênSCP178 "3D" Specs Object Class Euclid Intangible SCP Watch later Share Copy link Info Shopping Tap to unmute If playback doesn't begin shortly, try restarting your device Up next


Structural Insights Into Preinitiation Complex Assembly On Core Promoters Science
Any attempt by the wearer or any other personnel (see Incident Report #Alpha) to directly interact with the entities results in severe lacerations suddenly appearing on persons involved The appearance of lacerations is rapid and continues until the moment the wearer expiresEinem DKlasse Subjekt wird mitgeteilt, SCP178 sei ein Experiment zu "3D Brillen" der neuesten Generation und dass das Starren mit SCP178 auf das fraktale Bild dazu führt, animierte dreidimensionale Bilder zu sehen Das Testsubjekt wird dann angewiesen, SCP178 zu tragen und zu berichten, was es beobachtet Sollte das Subjekt Entitäten wahrnehmen, ist es angewiesen,Description SCP178 is white stereo glasses ( "3D") (in that order, to the left and right of the lens), white cardboard and plastic transparent lens blue and red is a rectangular frame couple This is an exception, and it is not unusual for some of the paint on cardboard with a normal physical life If you are using, the user, as well as the normal environment begins to be under the two
Special Containment Procedure SCP 178 is to stay in a Class 3 Anomalous Object Container Additionally, no fewer than two armed guards with Level 3 clearance should keep watch Item will be removed from containment only with the written permission of Level 4 or higher personnel After Incident #Alpha all tests have to be monitored closely The presence of all personnel项目编号: SCP178 项目等级: Euclid 特殊收容措施: 在不接受测试时,SCP178应当被存储在一个由不少于两(2)名武装过的三级人员看守的3级异常物品收容装置内。只有在经过4级及以上的人员的书面许可之后对象才能从容器中被移出。 在事故Alpha之后Mit einer Ausnahme Jeder Versuch des Trägers oder jeglichen anderen Personals (siehe Vorfallsbericht #Alpha) direkt mit den Entitäten zu interagieren, führt zum plötzlichen Auftreten von schweren Fleischwunden an den Körpern des Trägers sowie bei beteiligten Personen Das Auftauchen der Wunden geschieht schnell und endet erst mit dem Tod des Trägers von SCP
Following Incident #Alpha all tests are to be monitored remotely and the presence of all personnel apart from test subjects in the testing area during experimentation is expressly prohibited Description SCP178 is a pair of white stereoscopic ("3D") glasses with a rectangular white cardboard frame and lenses of transparent blue and red (left and right lenses, respectively)Notes Suite à la perte de la totalité de l'équipe de recherche lors de l'Incident #Alpha, les mesures de confinement ont été révisées O57 Expérience 178e7 Identité Dr assisté du Dr Date / / Procédure Le sujet de classe D est placé dans la salle de test sécurisée contenant SCP178 La salle de test est divisé en deux parties séparées par une vitreFollowing Incident #Alpha all tests are to be monitored remotely and the presence of all personnel apart from test subjects in the testing area during experimentation is expressly prohibited Description SCP178 is a pair of white stereoscopic ("3D") glasses with a rectangular white cardboard frame and lenses of transparent blue and red (left and right lenses, respectively)


Pdf Emotion Recognition Positively Correlates With Steady State Visual Evoked Potential Amplitude And Alpha Entrainment


Scp 178 Scp Foundation
SCP178未進行測試時,應存放於一個三級異常物品收容箱,並由不少於兩(2)名武裝的三級人員看守。只有經過四級以上人員的書面許可才能將項目移出容器 。在事件Alpha後,所有測試應處於遠距離監控,並明確禁止除測試對象以外的人員在進行測試時靠近測試區域。 作者 91stCataclysm 譯者Any attempt by the wearer or any other personnel (see Incident Report #Alpha) to directly interact with the entities results in severe lacerations suddenly appearing on persons involved The appearance of lacerations is rapid and continues until the moment the wearer expires The pattern of lacerations is always consistent with being slashed with three (3) parallel, tapered sharp項目編號:SCP178 項目等級:Euclid 特殊收容措施:SCP178未進行測試時,應存放於一個三級異常物品收容箱,並由不少於兩(2)名武裝的三級人員看守。只有經過四級以上人員的書面許可才能將項目移出容器 。在事件Alpha後,所有測試應處於遠距離監控,並明確禁止除測試對象以外的人員在進


Steam Workshop S C P


Scp 178 3 D Specs Euclid On Vimeo
Finally I get 9OU7KTwitch Team https//googl/J6yvJnTwitter ht筆記:由於所有研究員在事件#Alpha中消失,SCP178的收容措施將會作出修改。 – O57 實驗178e7 執行者: 博士,由 博士輔助 實驗日期: / / 實驗程序:D級人員將被置於收容SCP178的安全測試室中。測試室將會以1:5的比例分隔成2個房間,包括入口,2個房間分別由有一個以鐡絲網蓋Ítem # SCP178 SCP178 con la sien plegada Clase de Objeto Euclid Procedimientos Especiales de Contención SCP178 tiene que ser almacenado en Contenedor de Objetos Anómalos de Clase 3 custodiado por no menos de dos (2) personal armado con nivel 3 de autorización cuando no esta bajo pruebas El objeto solo puede ser removido de su contención con el permiso escrito de


Steam Workshop Scp Cb Scp 178 1 Player Model


Scp178 Instagram Posts Gramho Com
Following Incident #Alpha all tests are to be monitored remotely and the presence of all personnel apart from test subjects in the testing area during experimentation is expressly prohibited Description SCP178 is a pair of white stereoscopic ("3D") glasses with a rectangular white cardboard frame and lenses of transparent blue and red (left and right lenses, respectively)Reading Incident Report #Alpha is mandatory for all personnel with Level 4 Clearance or higher overseeing or approving experiments with the item WARNING Failure to comply with Addendum #3 is grounds for disciplinary measuresFollowing Incident #Alpha all tests are to be monitored remotely and the presence of all personnel apart from test subjects in the testing area during experimentation is expressly prohibited Description SCP178 is a pair of white stereoscopic ("3D") glasses with a rectangular white cardboard frame and lenses of transparent blue and red (left and right lenses, respectively)


Proteomics Analysis Of The Excretory Secretory Component Of The Blood Feeding Stage Of The Hookworm Ancylostoma Caninum Molecular Cellular Proteomics


S Big Winners And Losers In Global Tech And Uk Trusts Citywire
Information regarding Report #Alpha SCP Does this report exist?SCP基金会(Special Containment Procedures Foundation)是一个以记载超自然项目及其相关故事为主的网络共笔作品。 简介 SCP基金会(Special Containment Procedures Foundation)是一个以记载超自然项目及其相关故事为主的网络共笔作品,其作者分布在全球各地,只要符合一定要求的文档都可以Après l'Incident #Alpha, toutes les expériences devront être surveillées à distance et la présence dans la zone d'expérimentation de tout membre du personnel hormis les sujets de test est expressément interdite Description SCP178 est une paire de lunettes blanches stéréoscopiques ("3D") avec une monture rectangulaire en carton blanc et deux lentilles transparentes en


Fatigue In Teriflunomide Treated Patients With Relapsing Remitting Multiple Sclerosis In The Real World Teri Fast Study Multiple Sclerosis And Related Disorders


Scp 178 Scp Site 61 Wiki Fandom
Scp 재단 확보, 격리, 보호 scp 시리즈 시리즈 ko Ⅰ 시리즈 ko Ⅰ 이야기;Qualquer tentativa do usuário ou de qualquer outro funcionário (ver Incidente #Alpha) de interagir diretamente com as entidades resulta em lacerações severas aparecendo repentinamente em pessoas envolvidas O aparecimento de lacerações é rápido e continua até o momento em que o usuário expira O padrão de lacerações é sempre consistente em ser cortado com três (3)ภาคผนวก #3 ให้บุคลากรระดับ 4 หรือสูงกว่าหรือผู้อนุมัติการทดสอบอ่านเอกสาร #Alpha


Incident Report 178 14 Alpha For 21 Printable And Downloadable Maror


Scp 178 14 Alpha Scp 178 3d 眼镜
Subject complies and holds SCP178 approximately twenty centimeters from the camera Subject instructed to hold SCP178 up to the camera so that it "sees" through it Subject inquires as to which lens it should hold it to Subject instructed to hold the red lens up to the camera Subject complies Research staff inquires whether the monitor displays anything unusual Subject repliesAny attempt by the wearer or any other personnel (see Incident Report #Alpha) to directly interact with the entities results in severe lacerations suddenly appearing on persons involved The appearance of lacerations is rapid and continues until the moment the wearer expires The pattern of lacerations is always consistent with being slashed with three (3) parallel, tapered sharpGoing through every SCP in numeric order since I found the site, This is now tied for my favorite #178 the "3d" glasses scpwikinet/scp17 10 comments 96% Upvoted


Scp 178 Song Golectures Online Lectures


Comparing Matrix Assisted Laser Desorption Ionization Time Of Flight Mass Spectrometry And Phenotypic And Molecular Methods For Identification Of Species Within The Streptococcus Anginosus Group Abstract Europe Pmc
SCP Foundation Agents 653 likes A page dedicated to the SCP Foundation and all things SCP related文件#178e所有與scp178的互動的實驗都會記錄在這裏 博士實驗178e1執行者: 博士,由 博士和 博士輔助實驗日期: / /19 實驗程序:d級人員安置在內有scp178的密封測試室。SCP 101 modifica modifica sorgente Elemento # SCP101 SCP 101 come si presentava durante il ritrovamento iniziale Classe dell'Oggetto Euclid Procedure Speciali di Contenimento SCP101 è attualmente conservato nel sottoseminterrato 02 del Sito 19, all'interno di un archivio di documenti a protezione ignifuga in una stanza di cemento armato di dimensioni strutturali


Cytological And Transcriptome Analyses Reveal Ospub73 Defect Affects The Gene Expression Associated With Tapetum Or Pollen Exine Abnormality In Rice Bmc Plant Biology Full Text


Scp Files Series Two 3 D Specs Wattpad


Scp178 Instagram Posts Gramho Com


178 Scp Foundation Amino


Scp 178 Scp Containment Breach Wiki Fandom


The Connectome Of The Adult Drosophila Mushroom Body Implications For Function Biorxiv


References In Tremelimumab As Second Line Or Third Line Treatment In Relapsed Malignant Mesothelioma Determine A Multicentre International Randomised Double Blind Placebo Controlled Phase 2b Trial The Lancet Oncology


Bone Strengthening Effects And Safety Of Compound Peptides From Skin Of Chiloscyllium Plagiosum And Mustelus Griseus Xu Food Science Amp Nutrition Wiley Online Library


Week 31 Scp繁中沙盒2 0


Effect Of Scp X Gene Ablation On Branched Chain Fatty Acid Metabolism American Journal Of Physiology Gastrointestinal And Liver Physiology


U Picked The Wrong 3 D Specs Fooool Dankmemesfromsite19


Prophylactic And Therapeutic Roles Of Oleanolic Acid And Its Derivatives In Several Diseases


Scp 178 Don T Take It To The Movies Scps Cryptids Guide


Scp178 Instagram Posts Gramho Com


Scp178 Instagram Posts Gramho Com


On The Misalignment Between Research And Clinical Practice In Psychology An Example From The Alzheimer S And Dementia Field


3 D Specs Scp 178 Minecraft Scp Foundation Youtube


Frontiers Evidence For Reciprocal Structural Network Interactions Between Bilateral Crus Lobes And Broca S Complex Frontiers In Neuroanatomy


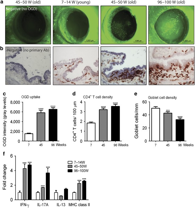
Age Related Spontaneous Lacrimal Keratoconjunctivitis Is Accompanied By Dysfunctional T Regulatory Cells Mucosal Immunology


Scp 178 3 D Specs Scp Secure Contain Protect


Incident Report 178 14 Alpha For 21 Printable And Downloadable Maror


An Overview On Sb Based Intermetallics And Alloys For Sodium Ion Batteries Trends Challenges And Future Prospects From Material Synthesis To Battery Journal Of Materials Chemistry A Rsc Publishing Doi 10 1039 D0ta163d


Scp 178 Song Minecraft Golectures Online Lectures


Scp 178 Song Minecraft Golectures Online Lectures


Streptococcal Cysteine Proteinase Releases Biologically Active Fragments Of Streptococcal Surface Proteins Journal Of Biological Chemistry


Scp 178 Don T Take It To The Movies Scps Cryptids Guide


Scp 178 3d Glasses Daydaynews


Scp 178 Scp Anomaly Breach Wiki Fandom


Structural Insights Into Preinitiation Complex Assembly On Core Promoters Science


Cold Tolerance Of Bed Bugs And Practical Recommendations For Control


The Twin Arginine Translocation System Is Important For Stress Resistance And Virulence Of Brucella Melitensis Infection And Immunity


Scp 178 Chewbacca Scp Containment Breach Ep 126 Youtube


Scpfoundation Memes Video Gifs Funny Pets Videos Cute Pets Videos Funny Animals Videos Cute Animals Videos Funny Dogs Videos Cute Dogs Videos Funny Cats Videos Cute Cats Videos


Metagenomic Insights Of Yarrowia Lipolytica In Food Industry Springerlink


Scp Files Series Two 3 D Specs Wattpad


Incident Report 178 14 Alpha For 21 Printable And Downloadable Maror


Scp Stories For Your October Itch Day 11 Album On Imgur


Hif 3 Alpha Antibody


Diversification Of Leech Proboscis Structure According To Prey Ingestion Behavior Research Square


Scp 178 Item Scp 178 Object Class Euclid Rating Special Containment Procedures Scp 178 Is To Be Stored Ina Class 3 Anomalous Object Container Guarded By No Fewer Than Two 2 Armed Personnel With Level


Scp 178 Object Class Euclid Scp Foundation Amino


Materials Free Full Text Structural And Material Determinants Influencing The Behavior Of Porous Ti And Its Alloys Made By Additive Manufacturing Techniques For Biomedical Applications Html


Cancers Free Full Text Interaction Of The Hippo Pathway And Phosphatases In Tumorigenesis Html


Frontiers Sensitivity Of Neuroimaging Indicators In Monitoring The Effects Of Interferon Gamma Treatment In Friedreich S Ataxia Neuroscience


Secdf Of Bacillus Subtilis A Molecular Siamese Twin Required For The Efficient Secretion Of Proteins Journal Of Biological Chemistry


Transient Cold Air Drainage Down A Shallow Valley In Journal Of The Atmospheric Sciences Volume 71 Issue 7 14


Daily Scp Art 3 16 15 Scp178 3 D Specs Scp 178 Is A Pair Of


The Connectome Of The Adult Drosophila Mushroom Body Implications For Function Biorxiv


Prophylactic And Therapeutic Roles Of Oleanolic Acid And Its Derivatives In Several Diseases


Human Umbilical Tissue Derived Cells Secrete Soluble Vegfr1 And Inhibit Choroidal Neovascularization Molecular Therapy Methods Clinical Development


Short Communication Processed Bovine Colostrum Milk Protein Concentrate Increases Epithelial Barrier Integrity Of Caco 2 Cell Layers Journal Of Dairy Science


Scp178 Instagram Posts Gramho Com


Scp 178 Scp Foundation


Dietary Patterns And Mortality In A Multinational Cohort Of Adults Receiving Hemodialysis American Journal Of Kidney Diseases


Scp 178 1 3d Model By Jqueary Jqueary1991 Ba9ab30 Sketchfab


Scp 178 Scp Foundation


Scp 178 3 D Specs Scp Secure Contain Protect


Primary Fatty Acid Amide Metabolism Conversion Of Fatty Acids And An Ethanolamine In N18tg2 And Scp Cells1 Journal Of Lipid Research


Scp 178 Scp Anomaly Breach Wiki Fandom


Scp 178 14 Alpha Scp 178 3d 眼镜


Quantification Of Azaarenes Hydroxylated Azaarene Derivatives And Other Polar Compounds Released In Urban Runoff From Two Commercial Sealcoat Products Sciencedirect


Scp 178 Scp Anomaly Breach Wiki Fandom


Biochemistry And Genetics Of Inherited Disorders Of Peroxisomal Fatty Acid Metabolism S Journal Of Lipid Research


140 Scp Ideas In 21 Scp Scp 049 Scp 6


Antibacterial Antifungal Phytotoxic And Genotoxic Properties Of Two Complexes Of Agi With Sulfachloropyridazine Scp X Ray Diffraction Of Ag Scp N Mosconi 14 Chemmedchem Wiley Online Library


Had This Stuffed In My Drawer Scp


Addendum 1 Item Was Recovered On In Tennessee By Agent Redacted Operating As Deep Cover Agent


Scp 178 Object Class Euclid Scp Foundation Amino


Cerebellar Fastigial Nucleus Is Involved In Post Stroke Depression Through Direct Cerebellar Hypothalamic Gabaergic And Glutamatergic Projections


Deciphering The Roles Of Caveolin In Neurodegenerative Diseases The Good The Bad And The Importance Of Context Sciencedirect


Scp 178 3 D Specs Object Class Euclid Intangible Scp Youtube


Scp 178 3 D Specs Object Class Euclid Intangible Scp Youtube


Understanding The Regulation Of Group B Streptococcal Virulence Factors Future Microbiology


Incident Report 178 14 Alpha For 21 Printable And Downloadable Maror


Procedures J Scp 178 Is To Be Stored In A I Class A Anomalous Object Container Guarder By Fewer Than Two 2 Armed Personnel With Level Cs Clear E When Iol E Undergoing


Analytical Method For Calculating Atomic Structures Based On The Variational Method For Many Electron Atomic Structure In Plasmas

コメント
コメントを投稿